Request
Request
Appointment
Like Us
Like us
on Facebook
Reviews
Read Our
Reviews
Call
Give us a
Call
Map
View our
Map
2556 Apple Valley Rd.
Suite 150 Atlanta, GA 30319
(404) 724-5776
Doctor Referral
Doctor Referral
Home
About Us
Meet The Endodontists
Meet Dr. Barr
Meet Dr. Maru
Tour Our Office
FAQs
Blog
Our Services
Non-Surgical Endodontics
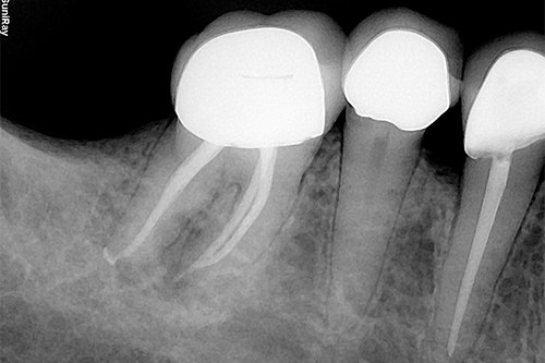
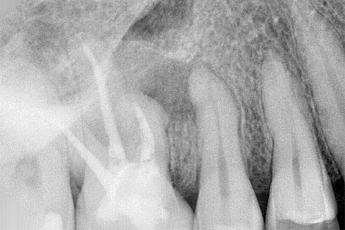
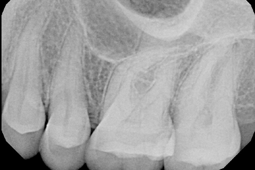
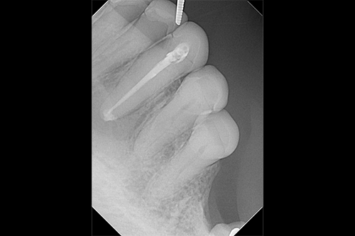
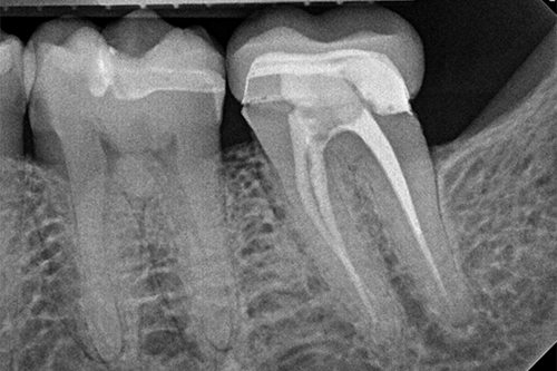
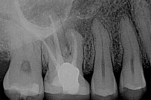
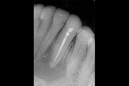
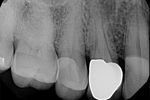
Root Canal Therapy
Antibiotic Therapy
Surgical Endodontics
Dental Implants
Facial Esthetics
Sedation Dentistry
LPRF Platelet Therapy
Traumatic Dental Injuries
Advanced Dental Technology
GentleWave Root Canal
For Patients
Unrestricted Insurance Provider
New Patient Forms
New Patient Forms
Aftercare Instructions
EOB Experiences
EOB Before & After
Contact Us
Office Info
Request an Appointment
Referral Form
Dr. Barr and Dr. Maru
Dr. Maru
More to Explore
About Us
Meet Your Endodontist
Meet Your Dental Team
FAQs
View Our Services